UEG Week Recordings UEG Week Posters Online courses Guidelines Mistakes in... Podcasts Webinars
Visit ueg.eu Create myUEG account Log In
Visit ueg.eu Create myUEG account Log In

Filters:

UEG Mistakes In Articles
Share via Email Share on Facebook Share on X Share on LinkedIn Share on Bluesky

Log in to access this content.

Free for all myUEG account holders. Your access level is set automatically based on your occupation. Medical professionals get full access to all content. If you are a non-medical user, you can only access UEG Week content from congresses you attended.

Log In Create a free account

Not sure what you can access? Learn more about account types.

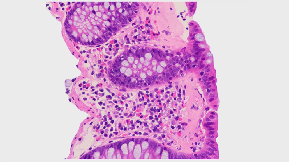
Microscopic colitis is an inflammatory bowel disease (IBD) that leads to chronic, watery diarrhoea. First believed to be rare, microscopic colitis has received more attention in recent decades, resulting in increasing incidence rates that exceed those of classic IBD in some countries. Hopefully, it is common practice nowadays to refer patients with chronic diarrhoea for a colonoscopy with biopsy samples taken, as this is the only way to diagnose microscopic colitis. Histology results distinguish between the subtypes of microscopic colitis — lymphocytic colitis, collagenous colitis and the more recently introduced incomplete microscopic colitis.


Mistakes in microscopic colitis and how to avoid them

Mistakes in microscopic colitis and how to avoid them

Andreas Münch

Topics

IBD

Citation

Münch A. Mistakes in microscopic colitis and how to avoid them. UEG Education 2021; 21: 10–13.

Published

2021
UEG Podcast Episode
New
UEG Podcast
Share via Email Share on Facebook Share on X Share on LinkedIn Share on Bluesky

Log in to access this content.

Free for all myUEG account holders. Your access level is set automatically based on your occupation. Medical professionals get full access to all content. If you are a non-medical user, you can only access UEG Week content from congresses you attended.

Log In Create a free account

Not sure what you can access? Learn more about account types.

Coeliac disease with David Sanders

David S. Sanders, Pradeep Mundre

Topics

Small Intestine & Nutrition

Published

2026
UEG Podcast Episode
UEG Podcast
Share via Email Share on Facebook Share on X Share on LinkedIn Share on Bluesky

Log in to access this content.

Free for all myUEG account holders. Your access level is set automatically based on your occupation. Medical professionals get full access to all content. If you are a non-medical user, you can only access UEG Week content from congresses you attended.

Log In Create a free account

Not sure what you can access? Learn more about account types.

Ian Gralnek on UEG Week 2024

Ian Mark Gralnek, Egle Dieninyte - Misiune

Topics

Endoscopy

Published

2025
UEG Podcast Episode
Journal Podcast
Share via Email Share on Facebook Share on X Share on LinkedIn Share on Bluesky

Log in to access this content.

Free for all myUEG account holders. Your access level is set automatically based on your occupation. Medical professionals get full access to all content. If you are a non-medical user, you can only access UEG Week content from congresses you attended.

Log In Create a free account

Not sure what you can access? Learn more about account types.

Episode 6: UEG Journal October Spotlight

Mohsan Subhani, Maria Manuela Estevinho

Topics

Endoscopy Hepatobiliary IBD Pancreas

Published

2025
UEG Mistakes In Articles
Share via Email Share on Facebook Share on X Share on LinkedIn Share on Bluesky

Log in to access this content.

Free for all myUEG account holders. Your access level is set automatically based on your occupation. Medical professionals get full access to all content. If you are a non-medical user, you can only access UEG Week content from congresses you attended.

Log In Create a free account

Not sure what you can access? Learn more about account types.

Long-term enteral nutrition via gastrostomy is a relatively common medical intervention for patients at risk of malnutrition who have an accessible and functioning gastrointestinal tract. There are clear clinical guidelines describing the principles of practice as well as numerous retrospective and non-randomised controlled studies and case series. However, fewer publications impart advice and guidance regarding the management and ‘patient selection’ for these interventions. The following article provides a combination of the author’s views and the evidence base.

Mistakes in gastrostomy insertion and how to avoid them

Mistakes in gastrostomy insertion and how to avoid them

Tom Welbank

Topics

Small Intestine & Nutrition Stomach & H. Pylori

Citation

Welbank T, Mistakes in gastrostomy insertion ingestion and how to avoid them. UEG Education 2024; 24: 8-11.

Published

2024
UEG Mistakes In Articles
Share via Email Share on Facebook Share on X Share on LinkedIn Share on Bluesky

Log in to access this content.

Free for all myUEG account holders. Your access level is set automatically based on your occupation. Medical professionals get full access to all content. If you are a non-medical user, you can only access UEG Week content from congresses you attended.

Log In Create a free account

Not sure what you can access? Learn more about account types.

Colorectal cancer (CRC) is a common and deadly disease. Advances in understanding the disease have improved diagnosis, prevention, and treatment. Genetic factors play a role in some cases of CRC, and identifying hereditary disorders has helped reduce morbidity and mortality. Serrated polyps are also precursors of CRC, and colonoscopy is crucial for screening and prevention. However, colonoscopy is not perfect, and some lesions may be missed. Here we discuss common mistakes in CRC diagnosis, prevention, and treatment, and how to avoid them.

Mistakes in colorectal cancer and how to avoid them

Mistakes in colorectal cancer and how to avoid them

Antoni Castells, Francesc Balaguer

Topics

Digestive Oncology

Citation

 Balaguer F and Castells A. Mistakes in colorectal cancer and how to avoid them. UEG Education 2016: 16: 7–10.

Published

2025
UEG Mistakes In Articles
Share via Email Share on Facebook Share on X Share on LinkedIn Share on Bluesky

Log in to access this content.

Free for all myUEG account holders. Your access level is set automatically based on your occupation. Medical professionals get full access to all content. If you are a non-medical user, you can only access UEG Week content from congresses you attended.

Log In Create a free account

Not sure what you can access? Learn more about account types.

Chronic gastritis is a common condition that occurs when an inflammatory infiltrate is present in the gastric mucosa. Diverse factors can cause such inflammation to develop, including food, common bacteria (particularly Helicobacter pylori) and even some viruses. Although the inflammatory infiltrate itself may not cause a disease per se, in some cases gastritis will evolve into atrophic gastritis, ulcers or gastric cancer. Clinicians therefore need to be aware of when gastritis is a harmless condition that can be left alone and when further action is required. In addition, many patients and some clinicians use the term ‘chronic gastritis’ to describe symptoms, mostly those of dyspepsia. This misuse of the terminology can lead to the erroneous conclusion that a diagnosis is being discussed and not a symptom. Here we address these mistakes and some of the others that are frequently made when managing patients with chronic gastritis. We discuss how to avoid making the mistakes to ensure that patients are managed adequately while reducing over treatment.

Mistakes in the management of chronic gastritis and how to avoid them

Mistakes in the management of chronic gastritis and how to avoid them

Mario Dinis-Ribeiro, Pierluigi Fracasso

Topics

Stomach & H. Pylori

Citation

Fracasso P and Dinis-Ribeiro M. Mistakes in the management of chronic gastritis and how to avoid them. UEG Education 2022; 22: 8–10. 

Published

2022

The global reference point for the digestive health community

Platform Publisher

United European Gastroenterology

Wickenburggasse 1 1080 Vienna, Austria

Contact us

support@ueg.eu

ueg.eu

T: +43 1 997 1639

Legal

Terms & Conditions

Imprint

Privacy Policy

Explore

My Bookmarks

My recommendations

My fields of interest

© 2026 United European Gastroenterology

Change fields of interest

These fields are selected based on the interests in your myUEG profile.
Click the item to unselect it. You can select multiple items.