UEG Week Recordings UEG Week Posters Online courses Guidelines Mistakes in... Podcasts Webinars
Visit ueg.eu Create myUEG account Log In
Visit ueg.eu Create myUEG account Log In

Filters:

UEG Mistakes In Articles
Share via Email Share on Facebook Share on X Share on LinkedIn Share on Bluesky

Log in to access this content.

Free for all myUEG account holders. Your access level is set automatically based on your occupation. Medical professionals get full access to all content. If you are a non-medical user, you can only access UEG Week content from congresses you attended.

Log In Create a free account

Not sure what you can access? Learn more about account types.

Coeliac disease is an autoimmune disorder triggered by gluten, which activates an immune reaction against the autoantigen tissue transglutaminase (TG2) in genetically predisposed subjects. Genetic susceptibility to coeliac disease has been proven by its close linkage with major histocompatibility complex (MHC) class II human leukocyte antigen (HLA) DQ2 and DQ8 haplotypes. The identification of biomarkers for coeliac disease (e.g. endomysial antibodies [EmA] and antibodies to TG2 [anti-TG2]) has changed the epidemiology of coeliac disease from being a rare to a frequent condition, with an expected prevalence of 1% in the worldwide population. Coeliac disease can be difficult to diagnose because symptoms vary from patient to patient, and the majority of patients who have coeliac disease remain undiagnosed. Small intestinal biopsy remains the gold standard for coeliac disease diagnosis, and a delayed diagnosis in the elderly can be considered a risk factor for complications. Complicated coeliac disease is not so frequent, but for those who have it, the prognosis is very poor, with a low rate of survival after 5 years.

Mistakes in coeliac disease diagnosis and how to avoid them

Mistakes in coeliac disease diagnosis and how to avoid them

Roberto De Giorgio 1, Giacomo Caio 1, Umberto Volta 1

1 University of Bologna, Italy

Topics

Small Intestine & Nutrition

Published

2024
UEG Podcast Episode
UEG Podcast
Share via Email Share on Facebook Share on X Share on LinkedIn Share on Bluesky

Log in to access this content.

Free for all myUEG account holders. Your access level is set automatically based on your occupation. Medical professionals get full access to all content. If you are a non-medical user, you can only access UEG Week content from congresses you attended.

Log In Create a free account

Not sure what you can access? Learn more about account types.

From Vienna to Berlin: What inspired us last year at UEG Week

Egle Dieninyte - Misiune, Pradeep Mundre

Published

2025
UEG Podcast Episode
UEG Podcast
Share via Email Share on Facebook Share on X Share on LinkedIn Share on Bluesky

Log in to access this content.

Free for all myUEG account holders. Your access level is set automatically based on your occupation. Medical professionals get full access to all content. If you are a non-medical user, you can only access UEG Week content from congresses you attended.

Log In Create a free account

Not sure what you can access? Learn more about account types.

Oesophageal cancer with Massimiliano di Pietro (Part 1)

Massimiliano di Pietro, Pradeep Mundre

Topics

Digestive Oncology Endoscopy Oesophagus

Published

2025
UEG Mistakes In Articles
Share via Email Share on Facebook Share on X Share on LinkedIn Share on Bluesky

Log in to access this content.

Free for all myUEG account holders. Your access level is set automatically based on your occupation. Medical professionals get full access to all content. If you are a non-medical user, you can only access UEG Week content from congresses you attended.

Log In Create a free account

Not sure what you can access? Learn more about account types.

Familial Mediterranean fever (FMF), also called periodic disease, Armenian disease, etc., is a prototypical autoinflammatory disorder where the underlying mechanism is the dysfunction of innate immunity, resulting in unprovoked episodes of inflammation.1 Although considered rare worldwide, it is prevalent in people of Mediterranean origin; however, one can expect to encounter patients in all parts of the modern world. FMF is a monogenic disease with autosomal recessive inheritance.2 Unlike other monogenic disorders, the diagnosis remains largely clinical, and it is important to understand the limitations of genetic testing. Another distinguishing feature is the well-established effectiveness of lifelong monotherapy with colchicine in preventing attacks and complications.3

Mistakes in Familial Mediterranean Fever and how to avoid them

Mistakes in Familial Mediterranean Fever and how to avoid them

Manik Gemilyan, Gagik Hakobyan

Topics

Primary Care

Published

2025
UEG Mistakes In Articles
Share via Email Share on Facebook Share on X Share on LinkedIn Share on Bluesky

Log in to access this content.

Free for all myUEG account holders. Your access level is set automatically based on your occupation. Medical professionals get full access to all content. If you are a non-medical user, you can only access UEG Week content from congresses you attended.

Log In Create a free account

Not sure what you can access? Learn more about account types.

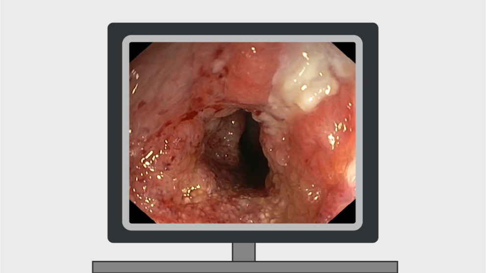
Barrett’s oesophagus is a premalignant condition of the distal oesophagus predisposing to oesophageal adenocarcinoma. Given the potential for malignant progression and the poor prognosis of eosophageal adenocarcinoma when diagnosed at a symptomatic stage, patients with known Barrett oesophagus undergo regular endoscopic surveillance to detect neoplastic progression at an early and preferably endoscopically, treatable stage. Endoscopic management of early Barrett oesophagus neoplasia consists of a combination of endoscopic imaging, endoscopic resection and endoscopic ablation. Below we discuss a number of mistakes that are frequently made when managing Barrett oesophagus neoplasia and how to avoid them. Much of this discussion draws on existing guidelines (for background reading, check the ESGE Barrett oesophagus guideline), but in many instances the underlying evidence (even in the guideline) is missing and therefore many of our practically driven recommendations are based on common sense and our experience in this field.


Mistakes in endoscopic treatment of Barrett oesophagus neoplasia and how to avoid them

Mistakes in endoscopic treatment of Barrett oesophagus neoplasia and how to avoid them

Jacques J. Bergman, Roos E. Pouw, Eva Verheij

Topics

Oesophagus

Citation

Verheij EPD, Pouw RE and Bergman JJ. Mistakes in endoscopic treatment of Barrett oesophagus neoplasia and how to avoid them. UEG Education 2021; 21: 35–39.

Published

2021
UEG Poster
Audio / Video Poster
Share via Email Share on Facebook Share on X Share on LinkedIn Share on Bluesky

Log in to access this content.

Free for all myUEG account holders. Your access level is set automatically based on your occupation. Medical professionals get full access to all content. If you are a non-medical user, you can only access UEG Week content from congresses you attended.

Log In Create a free account

Not sure what you can access? Learn more about account types.

Introduction

​The peripherally inserted central venous catheter (PICC line) is a highly useful form of vascular access in various areas of clinical patient care. It is particularly indicated in patients requiring long-term antibiotic therapy, medium-term parenteral nutrition, extended intravenous treatment during prolonged hospital stays, or those with poor venous access. PICC lines are typically 60 cm in length and must be individually trimmed to the correct length immediately before insertion. Several approaches exist for estimating the appropriate length on a case-by-case basis.

Aims & Methods

To establish a methodology for accurately estimating the required length of PICC lines.
Between November 2023 and April 2025, various body measurements were collected during PICC line placements. The depth of the selected vein was measured sonographically. Patients’ height, weight, and sex were documented. The PICC line length was determined based on clinical expertise. A post-insertion chest X-ray was performed to confirm the central position of the catheter tip. The distance from the catheter tip to the carina was measured to objectively define central placement. Multiple formulas in clinical use were compared for their accuracy. A regression analysis was conducted to develop a formula that is both accurate and simple to apply.

Results

​A total of 60 PICC lines were successfully inserted without complications. The median patient height was 168 cm (range: 164.3–175.8 cm), weight 59 kg (range: 50.0–83.8 kg), and age 56.5 years (range: 46–65.8). Thirty-five insertions were performed in female patients. The ideal PICC line length was 42 cm (range: 38–44.5 cm). Of the five tested formulas, the best correlations were found with Formula 5 (puncture site to jugulum + jugulum to 3rd intercostal space) with r = 0.68 (p = 0.0005), and Formula 3 (puncture site to acromion + clavicle length + jugulum to 4th intercostal space) with r = 0.67 (p = 0.0005). In simple linear regression, the distances from puncture site to acromion and to jugulum were significantly correlated (p = 0.0007 and p = 0.0019, respectively). The best-fit model in multiple regression included age, height, weight, arm side, puncture site to jugulum, and puncture site to 4th intercostal space (p = 0.0005).

ModelR²Success Rate (±2cm)
Success Rate (±3cm)
Success Rate (±4cm)
Formula 1
0.1631.25%50.00%65.63%
Formula 20.5618.75%37.50%53.13%
Formula 30.5318.75%25.00%28.13%
Formula 40.420.00%0.00%0.00%
Formula 50.6140.63%59.38%68.75%
New Formula0.8362.50%90.63%96.88%

Conclusion

An optimal formula for calculating the correct PICC line length has been identified.

References

Table 1: comparison between the various existing formulas and the newly developed one.

RETROSPECTIVE MONOCENTRIC ANALYSIS OF PICC LINES PLACED IN A TERTIARY CARE CENTER TO ESTABLISH A FORMULA FOR DETERMINING IDEAL PICC LINE LENGTH

RETROSPECTIVE MONOCENTRIC ANALYSIS OF PICC LINES PLACED IN A TERTIARY CARE CENTER TO ESTABLISH A FORMULA FOR DETERMINING IDEAL PICC LINE LENGTH

Hans-Peter Erasmus 1, Katharina Stratmann 1, Florian Alexander Michael 1, Ludwig Hofbauer 1, Daniel Hessz 1, Stefan Zeuzem 1, Mireen Friedrich-Rust 1, Irina Blumenstein 1

1 Goethe University Hospital Frankfurt, Frankfurt am Main, Germany

Conference

UEG Week Berlin 2025

Topics

Small Intestine & Nutrition

Submission format

Abstract

Session

NUTRITION (Posters)

Citation

United European Gastroenterology Journal 2025; 13 (Supplement 8)

Published

2025
UEG Podcast Episode
Journal Podcast
Share via Email Share on Facebook Share on X Share on LinkedIn Share on Bluesky

Log in to access this content.

Free for all myUEG account holders. Your access level is set automatically based on your occupation. Medical professionals get full access to all content. If you are a non-medical user, you can only access UEG Week content from congresses you attended.

Log In Create a free account

Not sure what you can access? Learn more about account types.

Episode 1: UEG Journal May spotlight

Mohsan Subhani, Maria Manuela Estevinho

Published

2025

The global reference point for the digestive health community

Platform Publisher

United European Gastroenterology

Wickenburggasse 1 1080 Vienna, Austria

Contact us

support@ueg.eu

ueg.eu

T: +43 1 997 1639

Legal

Terms & Conditions

Imprint

Privacy Policy

Explore

My Bookmarks

My recommendations

My fields of interest

© 2026 United European Gastroenterology

Change fields of interest

These fields are selected based on the interests in your myUEG profile.
Click the item to unselect it. You can select multiple items.